


近日,佛山市第一人民医院胸外科团队成功为一名花季少年实施手术,完整切除其前纵膈直径约10厘米的畸胎瘤。目前患者已顺利康复出院,术后复查胸片显示胸腔内无异常,各项生理指标均恢复正常,即将重返校园继续书写青春篇章。
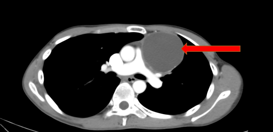
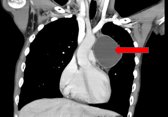
这名19岁少年是刚入学的大一新生,在学校组织体检中,胸透检查提示“前纵膈区域异常密度影”,随后至佛山市第一人民医院胸外科进一步检查。经胸部增强CT详细评估,医生发现其前纵膈位置存在一个大小约10cm的占位性病变,肿瘤内部可见脂肪密度影与钙化灶,结合肿瘤标志物(AFP、β-HCG)检测结果正常,初步诊断为“良性前纵膈畸胎瘤”。


尽管肿瘤性质偏向良性,但因其位置靠近心脏大血管,且体积已超过临床建议手术的3厘米阈值,若继续拖延,可能出现肿瘤压迫气管、食管引发呼吸困难、吞咽困难,甚至肿瘤破裂导致急性胸膜炎等风险。胸外科团队经过多学科会诊,考虑肿瘤较大,最终决定为其采正中开胸手术,在保证手术安全的同时,完整切除肿瘤。
术中,团队凭借丰富的临床经验与精湛的操作技巧,小心翼翼地分离肿瘤与周围粘连组织,最终将肿瘤完整切除,整个手术过程历时仅1.5 小时,术中出血量不足 20 毫升,未对患者胸腔内其他器官造成任何损伤。术后病理检查结果显示为“成熟性畸胎瘤(良性),切缘干净无残留”,彻底排除了恶性风险,让患者及家属悬着的心终于落地。
考虑到患者是首次面对手术,术前存在明显的焦虑情绪,胸外科团队不断安抚他的情绪,用通俗的语言讲解疾病知识、手术流程及术后恢复要点,消除他们对“肿瘤”“手术”的恐惧;麻醉医生专门针对青少年的生理特点制定个性化麻醉方案,并详细介绍术后镇痛措施,让患者放心。术前一天,护士还手把手教患者练习腹式呼吸与有效咳嗽,为术后康复打下基础。
目前,该患者已完成术后首次复查,胸部CT 显示胸腔内无积液、无粘连,肺功能恢复良好,已重新回到校园。此次手术的成功,也为更多青少年纵隔肿瘤患者带来了健康希望。未来,胸外科团队将继续深耕胸外科领域,以更精湛的技术、更优质的服务,守护每一位患者的胸心健康。
科普课堂
前纵膈畸胎瘤是胸腔内一种特殊的肿瘤,很多人对它一知半解,甚至谈“瘤”色变。其实只要理清关键信息,就能科学看待它。下面用通俗的语言,带你快速了解这种疾病的核心知识。
一、“胚胎残留”长成的特殊肿瘤
“畸胎瘤”本质是胚胎发育时,残留的 “多能干细胞” 没长对地方,异常增殖形成的。这些细胞能分化出多种组织,所以肿瘤里可能藏着毛发、油脂、骨骼,甚至牙齿,像个 “乱装零件的小包裹”。
它主要分两类,性质天差地别:
良性畸胎瘤:占 70%-80%,是 “老实肿瘤”—— 有完整包膜,不转移、不扩散,切干净基本就没事。
恶性畸胎瘤:占 20%-30%,是 “活跃肿瘤”—— 生长快、会侵犯周围器官,还可能转移到其他地方,治疗更复杂。
二、多数时候 “静悄悄”,有症状多因“压迫”
前纵膈畸胎瘤很 “低调”,一半左右的人没任何感觉,都是体检拍 CT、胸片时偶然发现的。出现症状,大多是因为肿瘤长太大(直径超 5 厘米),或位置特殊,压迫了周围器官,常见表现有:胸口不舒服:隐痛、胀痛,要是压到胸骨或肋骨,疼会更明显;
呼吸、吃饭受影响:压到气管会咳嗽、喘气费劲;压到食管会咽东西 “卡壳”;
突发紧急情况:少数良性肿瘤会破裂,里面的油脂、液体流到胸腔,引发突发胸痛、高烧;或合并感染,出现发热、脓痰。
恶性肿瘤除了上述压迫症状,还会有 “恶性信号”:不明原因瘦体重、没力气、贫血;转移到颈部会鼓包,转移到肺部可能咳血。
三、怎么确诊?“影像初筛 + 病理确诊”两步走
想确定是不是前纵膈畸胎瘤,以及良恶性,得靠 “组合检查”:
第一步:影像学先定位、猜性质
最常用的是胸部 CT,能清晰看到肿瘤的位置、大小,还能通过 “特殊信号” 初步判断 —— 比如看到 “黑色的脂肪影”“白色的钙化点(可能是牙齿 / 骨骼)”,大概率就是畸胎瘤。胸片可初步筛查,但细节看不清;MRI 则能进一步看肿瘤是否侵犯心脏、大血管,帮医生制定手术方案。
第二步:病理检查定 “生死”
影像学只是 “猜测”,最终确诊良恶性,必须靠病理检查(诊断金标准):
能手术的,切下肿瘤后送病理科,在显微镜下看细胞形态,判断是良性还是恶性;
肿瘤太大、位置危险,或怀疑恶性的,先做 “CT 引导穿刺”,取一点肿瘤组织化验,明确性质再定治疗方案。
另外,抽血查 “肿瘤标志物”(AFP、β-HCG)也能辅助 —— 恶性畸胎瘤这两项常升高,良性一般正常。
四、良性靠手术,恶性多管齐下
治疗方案完全看肿瘤性质,核心原则很明确:
良性畸胎瘤:手术切了就根治
良性肿瘤药物没用,唯一办法是手术切除,关键在 “时机” 和 “方式”:
时机:肿瘤超3-4 厘米,哪怕没症状也建议切 —— 避免越长越大,增加压迫、破裂风险;小于3厘米且无症状,每6-12个月查一次 CT,看是否变大。
方式:优先选 “胸腔镜微创手术”,胸口打 2-3 个小孔就能切,创伤小、恢复快,1-2 周就能出院;极少数巨大肿瘤或位置极特殊的,才需要开胸。
恶性畸胎瘤:手术 + 化疗 + 放疗,多学科联手
恶性肿瘤不能只靠手术,得 “综合作战”:
能切先切:尽量把可见肿瘤切干净;切不了的先化疗(叫 “新辅助化疗”),缩小肿瘤后再切;
化疗跟上:术前化疗缩瘤,术后化疗清残留;
放疗兜底:术后有残留、复发的,或肿瘤没法手术的,用放疗杀灭残留癌细胞,缓解症状。
五、良性不用怕,恶性早治是关键
良性畸胎瘤:预后较好。手术切干净后,几乎不复发,也不影响寿命,术后定期复查就行,能回归正常生活。
恶性畸胎瘤:预后看 “发现早晚” 和 “治疗是否规范”—— 早期发现、对化疗敏感、切得干净,5 年生存率能到 50%-70%;要是发现时已转移,或治疗不及时,预后就差很多。
不管良恶性,术后复查都不能忘:良性术后 1 年每 6 个月查一次 CT,1 年后每年查;恶性术后前 2 年每 3-6 个月查 CT + 肿瘤标志物,2 年后每 6-12 个月查,早发现问题早处理。
六、关键提醒:别慌、别拖、早就诊
前纵膈畸胎瘤不是“绝症”,良性占多数,就算是恶性,早治也有希望。如果体检发现前纵膈有肿块,别自己吓自己,也别拖着不处理。早发现早治疗,肿瘤较小,可以通过微创胸腔镜手术切除。若肿瘤长到一定的大小,就需要通过正中开胸方式切除。因此及时胸外科就诊,让医生判断性质、制定方案。
凤凰网广东佛山频道
供稿:佛山市第一人民医院