


现在的年轻人
都是“一身反骨”整顿职场
想PUA我?不存在的!
办法总比困难多
我自有其他方法解决内耗
但是不得不说
有时候要想工作干得好
忍气吞声墨守成规是行不通的
既要有创新的勇气
也要有突破的魄力
(当然了也要在硬实力基础上)
这在瞬息万变的手术室里更是这样
近日,南医心脏医学中心
就以无与伦比的巧思
圆满完成了一台“极限手术”
再次定义了
区域心脏介入诊疗的技术高度
0 1
一堵“墙”挡住了手术“路径”
手术难度飙升!
在心脏的左、右心房内,各存在一个特殊的解剖结构——心耳。它们是心房向外凸出的“盲端”,因为形状像耳朵而得名。
这个结构没啥用,反而只会“添乱”:血液进入心耳后是“进去容易出来难”,出不来的血液淤滞其中,渐渐地就会形成血栓。尤其对于房颤患者来说更是威胁,有研究显示,房颤持续时间超过6分钟,就足以形成血栓。

图源:腾讯医典
当血栓脱落,会随着血流到处“跑”,在较细的动脉处无法“通行”,就可能导致脑动脉栓塞等严重后果。
所以对于房颤患者来说,切除或封堵心耳是有效治疗方式,不会影响心脏功能,却能很大程度地降低心源性卒中风险。
李伯就是这样,患有持续性房颤,口服抗凝药后出血,既往又有脑梗死病史,因此急需封堵左心耳以预防卒中。

图源:腾讯医典
但李伯心脏内的情况却极为特殊——
10多年前,李伯曾做过房间隔缺损封堵介入手术。如今,这枚植入的房间隔封堵器已经完全内皮化,像一面光滑坚韧的“合金之墙”,封堵了所有常规穿刺路径。

房间隔封堵器挡住了介入手术的必经之路
更棘手的是,直接穿刺封堵器本体这个预设方案,也遭遇了前所未有的阻力:无论是专用穿刺针还是加强穿刺针,都没办法在这面致密的“墙”上建立哪怕一个突破点。
突破不了这面横亘在手术必经之路上的墙,就意味着没办法完成手术...
手术,在那一刻仿佛走到了技术常规的尽头。
02
术中大胆决策,启用planB
“穿针引丝”走出“救心之路”
planA失效虽然有点出乎意料,但心脏医学中心团队依然镇静沉稳,展现出了深厚的经验积淀与卓越的临场创新能力。
基于对心脏结构力学与介入器械物理特性的深刻理解,杨泽福主任医师联手严国森主治医师立即开启planB,做出了一个打破亚专业壁垒的惊人决策:弃“针”用“丝”。
团队创造性地选用了常用于冠脉慢性闭塞病变的CP8-20导丝。这根导丝以极致柔韧与精准操控著称,是专家手中用来探入微观世界的“灵巧触手”。
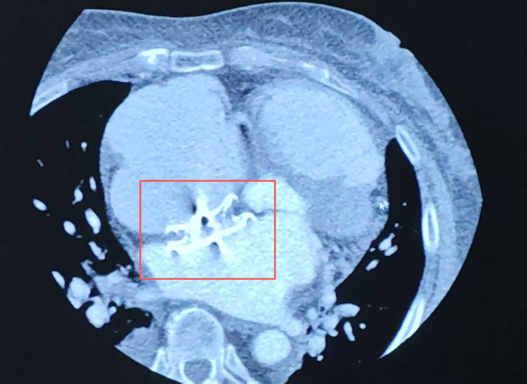
在x光二维影像的精准导航下,导丝尖端不是暴力穿刺,而是在封堵器的金属网格间精巧地“探”寻、“绕”行,最终成功穿透一个天然的网眼,完成了初始通道零的突破。

纤细的导丝成功穿透封堵器(红框处)
这仅是第一步。随后,团队运用冠脉介入中的微小球囊扩张技术,像打造精密模具般,沿着细若游丝的导丝路径,将通道逐步、可控地扩张,最终构建起一条足以输送大型鞘管与左心耳封堵器的安全“轨道”。

成功建立一条轨道并成功植入左心耳封堵器
这一系列操作,堪称介入医学中“以柔克刚、循序渐进”的典范。最终手术圆满成功,李伯术后恢复状态良好。
0 3
3技术齐下,多学科协作
勇攀区域医疗高峰!
虽然听起来好像没有那么危急,但实际上这个病例在全球范围内都极为罕见,基本没多少医生在手术台上碰到这种情况。
这也从侧面反映出南医心脏医学中心对复杂问题的顶尖解决能力——
一方面,心脏医学中心团队充分发挥了卓越的多学科技术融合能力,娴熟地整合了结构性心脏病介入、电生理介入、冠脉介入三大领域的技术精髓。此外,从术者的决策,到影像专家的精准导航,再到护理团队对跨专业器械的精妙配合,都彰显了南医强大的多学科协同作战能力。
另一方面,“始终以患者为中心”的理念驱使团队在绝境中爆发出惊人的创造力,一切的技术突破与冒险,根本目的都是为了在确保安全的前提下,为患者寻求最优的解决方案。
“此次手术的成功,意义远超一例患者的成功救治。”心脏医学中心三区负责人杨泽福表示,此次手术树立了复杂心脏介入的新标杆,为全球范围内众多体内有植入物却又需进行新干预的患者,提供了可借鉴的、充满智慧的“南医方案”。
心之所向,虽艰必达
南医心脏医学中心将继续勇攀高峰
持续精进顶尖技术
为广大患者守护“心生”
来源:佛山市南海区人民医院